Don’t be bamboozled by paediatric elbow x-rays. Here’s a guide to a systematic approach. (Click on the images to see them at full size).
1. Check your lateral is really a lateral
Look for the hourglass sign or ‘figure-of-eight’ which shows that you are actually looking at a true lateral.
2. Look for an anterior fat pad
A small one is normal but a large one (sail sign) suggests intra-articular injury.
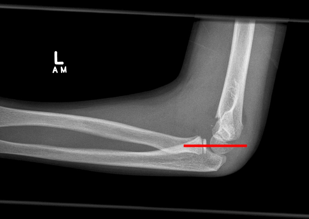
3. Look for a posterior fat pad
Pretty much always abnormal, and indicates a fracture in 75%.
4. Â Check the anterior humeral line
Draw a line down the anterior border of the humerus. It should go through the middle third of the capitellum.
Displacement suggests a probable fracture (if there is no figure of eight then this line isn’t accurate).
5. Check the radio-capitellar line
Draw a line through the middle of the proximal end of the radius – it should bisect the capitellum in lateral and AP views.
Â
Displacement indicates a radial head dislocation.
6. Look at the angle of the radial head
Look for any subtle angulation at the radial head which can indicate a fracture.
7. Check the cortex lines of the distal humerus
Look for any disruption of the cortex on the anterior or posterior humeral borders. This would usually be accompanied by fat pads or displacement of the anterior humeral line.
8. Go through all the ossification centres
Check that the ossification centres are appropriate. Use CRITOE: capitellum (1); radial head (3); internal epicondyle (5); trochlear (7); olecranon (9); external epicondyle (11).
Â
References











Step wise approach.
Great job.
Thank you.
Thanks
very informative and detail.
Excellent
Excellent
The figure of 8 appears to be a good interpretation. Is there any other evidence or research around this assessment criteria?
Pingback: The LITFL Review 118 - LITFL